
Kõik ei tea, mis on artroos, seetõttu on inimesed ravimeetodites segaduses ega mõista patoloogia diagnoosimise põhimõtteid. Artroos on raske düstroofiline rikkumine, mis kutsub esile kõhrekudede kahjustust intraartikulaarses õõnsuses. Ravi keerukus on seotud protsesside pöördumatusega, tänapäevase meditsiini raames täielikku ravi ei saa saavutada, kuid sümptomite raskust saab vähendada ja patoloogia progresseerumine võib aeglustada. Nõuetekohase ravi korral jätkab inimene pikka aega tavalist elustiili.
Mis on artroos?
Sarnaselt on lihtsam, et haiguse artroos on liigeste haigus, mis kutsub esile liikumise ja valu amplituudi piiramist. Kahju esimeses etapis pole ilminguid, on kerge raskusaste ja pestud maha. Järk -järgult patoloogia edeneb, seda hõlbustavad vanusega seotud muutused kehas, stressis, vigastused jne. Statistika kohaselt on artroosist umbes 80% üle 60 -aastastest elanikkonnast.
Liigese artroos areneb pikka aega, mis mõjutab esialgu ainult hüalini kõhre, seejärel levib luudesse, hõlmab sünoviaalse kesta, lihaseid ja kogu liigesekapslit. Artroosi esimeses või varases staadiumis avaldub kahjustus pisut: väikesed valud pärast rasket tööd, turset, naha punetust. Ebamugavate aistingute eiramise tõttu on liiges deformeerunud, põletikuline, toob raske valu, nende tipp langeb hommikul. Haigust iseloomustab valu kadumine pärast liigese arengut. Kui seda ei ravita, kaotab inimene liigese liikuvuse täielikult.

Artroosi on esmane ja sekundaarne vorm. Samuti eristatakse pseudortroroosi (neoartroos)- paljud inimesed ei tea, mis see on, kuna see moodustub harvemini kui muud sordid. Neoartroos on vale liigend, nii et kõhre kude suureneb ebaharilikus kohas, kus kahjustati. Seda on keeruline ravida, peamiselt kirurgiliselt.
Regeneratiivse funktsiooni, immuunsuse või mehaaniliste kahjustuste häirete tõttu on patoloogia. Kõhre mitmesuguste põhjuste tõttu muutub see õhemaks. Normaalses seisundis saab kõhrekangas piisavat toitumist taastumiseks, kuid pärast liigset füüsilist pingutust või metaboolsete protsesside rikkumise tõttu pole kangastel aega taastuda. Esimeses etapis jääb liigese liikuvus alles. Olles kaalunud artroosi määratlusena, tasub see patoloogia arengu üksikasjalikumalt süvendada.
Artroosi arengumehhanism, selle tüübid
Paljud artroosi sordid arenevad vastavalt sarnasele skeemile:
- Esmane kahjustus mõjutab hüaliini kõhre. Vere vereringehäirete korral toimub patoloogiline võimsuse halvenemine. See on esimene samm või põhjus, mis võib tekkida artroos.
- Hüalini kattepatoloogiad. Kõhre hõrenemine viib selle patoloogiliste kudede - luustruktuuride - asendamiseni.
- Anomaalsed kasvud esinevad kõhredel - osteofüütidel.
- Kõhre ja luude loodusliku anatoomia tekkimine kutsub esile kõhre tervislike alade ülekoormuse. Artikli kudede hävitamine ravimata progresseerub pidevalt ja põhjustab puudeid.
Kui haiguse aste suureneb, on patoloogilised protsessid endiselt süvenenud. Lõpuks hävitatakse kogu Hyalini kõhre.
Haiguse viimane aste viib:
- luude patoloogilises protsessis osalemine kõhrepindade all ja kohal;
- Liigese kesta ärritus, piirav liikuvus, mis põhjustab puude 2 kraadi;
- suurenenud kapsli tihedus;
- Vähendades liigese lõhet, mis muutub pildil märgatavaks. Rikkumise etapi määrab diagnostiline-tantgenoloog. Patsient tunneb keerukust või suutmatust jäseme täielikult sirgendada ja painutada;
- liigese deformatsioon, kõhre omandab ebaregulaarse kuju, provotseerides kumerust;
- Patsiendi seisundi halvenemine koos liigese täieliku hävitamisega.
Artroosi etapid
Ühishaigusel on 3 arenguetappi:

- 1 kraad. Morfoloogilised häired on juba alanud, kuid need pole veel märgatavad. Patoloogia mõjutab peamiselt sünoviaalvedeliku seisundit, mis halvemini varustab kõhrekoesid toitainekomponentidega, vähendades kõhre tugevust. Liigeste koormus tekitab põletikku ja valu.
- 2. etapp. Varustusvaeguse tõttu hävitatakse vajalikud kassetid, kõhre pinnale moodustatakse luude kasv. Valud omandavad selgema iseloomu, mida intensiivistavad pärast pikka puhkamist, kõrvaldatakse väikese füüsilise sünnituse abil. Valuga kaasneb põletik. Lihased on venitatud, mis põhjustab nõrga või keskmise halvenenud mootorifunktsioone.
- 3 kraadi. Sageli on valusid, liigese muutuste tõttu on jäseme keeruline liigutada. Kahjustused on ulatuslikud, muutuvad palja välimuse jaoks märgatavaks. Liigendi deformatsioon toimub, mõjutatud piirkond paisub ja muutub punaseks. Jäseme telg on häiritud, mis viib liikumise keerukuseni. Patoloogilised muutused kutsuvad esile sidemeid. Ilmuvad allüksused ja kontraktuurid. Külgnevad lihased lühendatakse või venitatakse, millest kontraktiilne funktsioon on nõrgenenud.
Artroosi tekke põhjused ja riskifaktorid
Liigeste artroosi põhjused erinevad sõltuvalt patoloogia vormist. Küünarnöövli liigese, pahkluu liigese ja õla artroosi deformeeruv artroos tekivad mõnikord ilma märgatavate põhjusteta, on võimalik neid tuvastada arstiga, reumatoloogia spetsialistiga. Kui probleemile ei eelnenud nähtavad patoloogiad, nimetatakse seda haigust esmaseks. Peamiselt diagnoositakse rikkumise sekundaarne vorm, see võib provotseerida erinevaid riike.
Arengu peamised põhjused:
- Mehaanilised kahjustused: nihestused, luumurrud, venitamine, meniski vigastused;
- mitmed endokriinsed häired, mis on seotud rikketega immuunsuse töös;
- ainevahetuse patoloogiad;
- düsplaasia (liigesekudede kaasasündinud anomaaliad);
- kannatas liigeste põletikku;
- Liigendite kõrge liikuvuse ja sidemete nõrgenemise patoloogiad.
Artroosiga patsiendid sattus kõige sagedamini haiguse tõttu eelsoodumuste tõttu:
- vanusega seotud muutused;
- Kerge ja suurenenud KMI. Liigendi suur koormus põhjustab liigese kiiret kulumist;
- kasulike ainete puudumine;
- Liigeste liigne koormus. Põhjus on intensiivne treenimine, sport, raske füüsiline töö;
- keerulised töötingimused või ebaõige lähenemine spordile. Kui on esinenud geneetilist kalduvust kahjustada, liigesevigastusi või sarnaseid haigusi, on oluline järgida spetsiaalset koolitusprogrammi, vältides traumeerivaid ja raskeid harjutusi;
- Operatsioonijärgne taastumisperiood või edastatud keerulised toimingud, mis on seotud suure osa mõjutatud kangaste ekstsisiooniga. Sellised olekud mõjutavad kõhre sujuvust ja tugevust negatiivselt, koormus tuleks neile minimeerida;
- Geneetiline tendents, artroos diagnoositakse sagedamini patsientidel, kellel on sama patoloogiaga sugulased;
- Postmenopausi etapp esineb naistel umbes 50 aastat, on seotud muutustega endokriinsüsteemis;
- toksiinide hävitav toime;
- kehv keskkonnaolukord elukoha piirkonnas;
- Liigene sagedane kahjustus, mõnikord mikrokraadid ei ilmu pikka aega;
- hüpotermia;
- Lülisamba nimme- ja emakakaelaosa patoloogia.
Esmane artroos

Esmane artroos moodustub sõltumatult, see tähendab ilma sisemiste või väliste põhjuste mõjuta. Lüüasaamine areneb Hyalini kõhre kaudu üsna aeglaselt. Seda diagnoositakse harva, see moodustab ainult 3-5% kõigist juhtudest.
Sekundaarne artroos
Sekundaarset artroosi tuvastatakse kõige sagedamini järjekorras 95–96% juhtudest. Neid provotseerib mõni ülaltoodud patoloogia.
Artroosi tunnused ja sümptomid
Haiguse ilmingud erinevad vähe, sõltuvalt lokaliseerimisest, sagedamini peegelduvad suure koormuse tõttu põlvedel, õla- ja puusaliigestel.
Enamasti kaebused tulevad:
- valu. Neil on algfaasis madal raskusaste, süvenedes sensatsiooniseisundi süvenemisega. Algselt valutasid vuugid alles pärast ärkamist, pärast kerget sooja -up -i aistinguid kaovad. Aja jooksul ilmnevad valud öösel, need häirivad suuresti ja pärast pikaajalist kõndimist, jooksmist jne. Viimases etapis jälitab valu sündroom kogu aeg inimest;
- Piiratud liikumiste amplituud. Toimingute jäikus näitab struktuuri anatoomilisi muutusi. Alguses avaldub see hommikul, siis on igapäevased liikumised piiratud. Selleks, et haigusseisund ei tekitaks, peab töö olema mitmekesine ja kerge, vastasel juhul ei saa patsient aja jooksul jäseme lahti lahti harutada ja pigistada. Aja jooksul on oht lepingute sõlmida, millest inimene kaotab motoorse võime;
- Kroon liikumiste ajal - see kuulub artroosi mittespetsiifilistesse ilmingutesse. Haigust iseloomustab krõpsu esinemine ühes liigeses (välja arvatud polüartroos), millele on lisatud ebamugavus, valu ja piiratud toime. Voolu olemus on lainekujuline - alguses avaldub see nõrgalt, järk -järgult intensiivistub, kuid 3 etapil kaob;
- punetusega turse. See on lokaliseeritud haige liigese lähedal, see näitab põletikulist protsessi ja haiguse progresseerumist. Arst mõistab, et see mõjutab sünoviaalset kesta, see kutsub esile vedeliku kogunemist ja suurenenud valu;
jäsemete deformatsioonid. Ilmub haiguse tähelepanuta jäetud kujul, näitab kõhrekoe täielikku hävitamist ja osteofüütide ilmnemist. Selles olekus suureneb surve üla- ja allpool olevatele liigestele, millest kumerus võib mõjutada kogu jäseme.
Oluline on meeles pidada, et jalgade luude deformatsioon on sageli segamini maisiga. Sümptom on halvasti ohtlik ainult esmapilgul, kuid põhjustab tõsiseid tagajärgi.
Komplikatsioonid
Algselt kasutatakse ravis konservatiivseid ravimeetodeid. Kui nad on ebaefektiivsed või kui patsient ignoreeris arsti soovitusi, on tagajärgede oht.
Võimalikud komplikatsioonid:
- Liiges on täielikult hävitatud;
- Jäseme on immobiliseeritud, kõik liikumised muutuvad äärmiselt keeruliseks;
- lülisamba herniad;
- puue;
- Liigese või kogu jäseme tugev deformatsioon.
Artroosi diagnoosimine
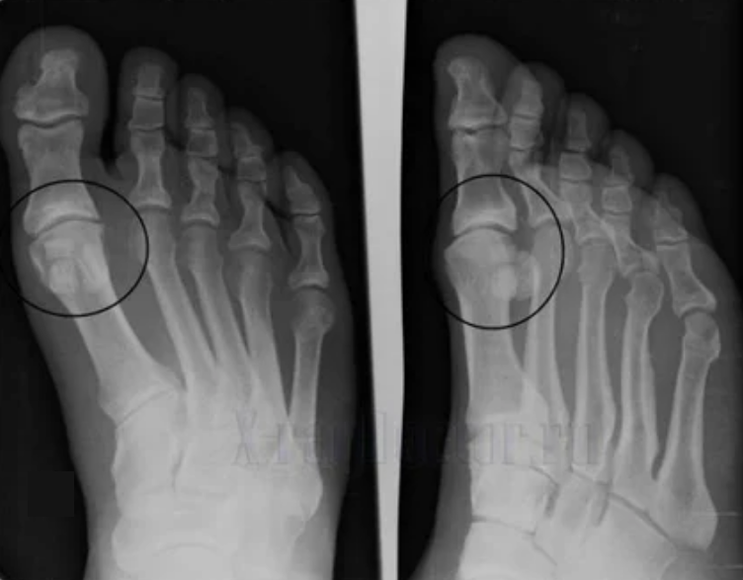
Diagnoosi tegemiseks uurivad reumatoloogid patsiendi kaebusi ja määravad X -RAY uuringu. Kõige sagedamini kasutatakse radiograafiat kahes projektsioonis. Arst uurib düstroofiliste häirete esinemist hüaliini kõhre ja luuühenduste korral. Kui liigesevahe on vähenenud, luud deformeerutakse või lamestatakse, kõhre pinnal on tsüstilisi moodustisi, osteofüüdid on ilmsed artroosi tunnused. Vastuse ajal näitab artroos liigese ebastabiilsust: jäsemete telg ja subluksatsioon on häiritud.

Sageli ei suuda X -RAY -pilt anda täielikku teavet liigese seisukorra kohta. Põhjalikuma uuringu jaoks on ette nähtud kompuutertomograafia, see on efektiivne luude uurimiseks. MRI -d kasutatakse sagedamini pehmete kudede uurimiseks.
Diagnoosimise ajal praktiseeritakse teiste spetsialistide kaasamist, kes aitavad kindlaks teha patoloogia algpõhjust. Sageli kasutab hematoloogi, endokrinoloogi, günekoloogi, ortopeedilise konsultatsiooni.
Kaasaegne kohtlemine
Arthroosiravi viise on sadu, kuid need kõik tulevad paljudele meetoditele:
- Narkootikumide ravi. Peamine ülesanne on võidelda sümptomite vastu ja vältida rikkumise edasist arengut. Kõige sagedamini kasutatakse valuvaigistid valu leevendamiseks, mitteteroidsed põletikuvastased ravimid põletiku vastu võitlemiseks, hormonaalsed ravimid on välja kirjutatud raske valu ja ägeda põletiku korral. Iga kursus põhineb koondprotektoritel, mis kaitsevad kõhrekangaid hävitamise eest, nende valmistamiseks kasutatakse looduslikke aineid;
- Füsioteraapia. Suurendab ravimite tõhusust, võitleb põletikuga, leevendab sümptomeid, kiirendab kudede regenereerimist. Kõige sagedamini kasutatavad ultraheli, elektrilised, magnetilised laserravi. See hõlmab ka mudavannid, looduslike materjalidega rakendused, radooni vannid;
- Meditsiiniline kehaline kasvatus. See on kasulik nii ennetamise kui ka haigusseisundi hõlbustamiseks. Pärast õigeid füüsilisi harjutusi on võimalik valu täielikult kõrvaldada. Kasulik on külastada basseini, osaleda joogaga ja sageli kõndida;
- Manuaalteraapia, massaaž aitab haiguse ravis, kuna need aitavad kaasa liigeste kõveruse ennetamisele. Pärast vigastusi suudab manuaalterapeut liigese tasandada, takistades tema fikseerimist vales asendis. Pärast massaaži suureneb lihastoon, vereringe kiireneb;
- Nõuetekohane toitumine. Tervislik toitumine aitab rikastada keha kõhre toitainetega ja vähendada kehakaalu. Suur mass suurendab liigeste kulumist;
- Sanatooriumikuurortravi tugevdab liigeseid. Tervendamise raames pakutakse sanatooriumidele balneoteraapiat, treeningravi, füsioterapeutilisi protseduure jne;
- Mittetraditsiooniline teraapia. Artroosi raviks kasutatakse onnide, naturaal-, aph- ja taimsete ravimite, samuti nõelravi ja mitmesuguseid rahvaretsepte;
- Kirurgiline sekkumine on ainus viis naasta tavapärasesse ellu haiguse kolmandas etapis. Endoprosthetics võimaldab teil asendada patsiendi kõhre implantaadiga. Operatsiooni ainus puudus on kõrge hind. Ühest protseduurist piisab 15-20 aastat.
Ennetavad meetmed
Nii et liigese artroos ei häiri vanas eas, seisab:
- säilitada tervislik eluviis;
- vältida tugevaid koormusi;
- jälgida dieeti;
- välistada halvad harjumused;
- Esitage iga päev võimlemist;
- Järgige kaalu.
Artroos on ohtlik haigus, mida on palju lihtsam ennetada kui ravida. Arsti õigeaegse otsimise ja ravireeglite järgimisega saab patsient pikka aega tuttavat elustiili säilitada. Ravi puudumine ja isemeditsiiniline ravi põhjustab haiguse kiiret süvenemist ja lõppkokkuvõttes puude.






















